產品中心
PRODUCTS CNTER

產品簡介
相關文章
Corning® 纖連蛋白, 人,1 毫克
品牌:Corning
貨號:354008
規格:1毫克
產品信息
Corning® 纖連蛋白, 人,1 毫克
品牌:Corning
貨號:354008
規格:1毫克
Corning® 纖連蛋白, 人,5 毫克
品牌:Corning
貨號:356008
規格:5毫克
細胞的發育和正常功能取決于其微環境中分子的相互作用。我們在建立具生理相關性的體外模型時,為了支持細胞的正常生長和功能,必須結合體內環境的組成部分。使用細胞外基質(ECM)蛋白質(天然的、合成的或模擬的)作為培養器皿的包被,可以為特定細胞類型模擬更接近體內條件的系統環境。
纖維連接蛋白是一種天然的細胞粘附因子。其主要功能體現在傷口愈合和發育過程中的細胞遷移,調節細胞生長和分化,以及止血/形成血栓的過程中。在細胞粘附的過程中,細胞外基質通過纖維連接蛋白的Arg-Gly-Asp-Ser(RGDS)序列與細胞相應的跨膜整合素受體發生粘附。纖維連接蛋白的其他結構域也參與了粘附過程,它們可能與膠原、肝素及其他細胞表面糖胺聚糖相互作用。
纖維連接蛋白的構象和方向對粘附也很重要,會對內皮細胞的細胞鋪展和粘附強度產生影響。在無血清培養基中添加纖維連接蛋白可促進細胞粘附。培養BHK、CHO和其他細胞系時,在培養皿中以1-5 ug/cm2的量包被纖維連接蛋白,可觀察到更顯著的效果。


BHK-21倉鼠腎成纖維細胞培養在玻璃載片上無法鋪展

BHK-21倉鼠腎成纖維細胞培養在人纖維連接蛋白包被的玻璃載片上1小時內形成鋪展
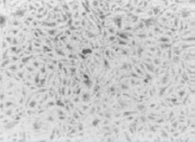
HUVEC細胞 (3 x 105) 接種在未包被/人纖維連接蛋白包被的Falcon細胞培養小室(0.31cm2, PET膜, 3 μm孔徑)的上層。細胞培養48小時后經福爾馬林固定、結晶紫染色后在顯微鏡下觀察細胞單層的形成情況。

未包被

人纖維連接蛋白包被
結果表明,纖維連接蛋白可用于快速誘導內皮細胞形成完整的內皮細胞單層,在未包被的膜上生長的細胞在同等時間內未形成完整的單層。
纖維連接蛋白的主要應用包括:
促進細胞黏附與鋪展
細胞群落的快速擴增
無血清與減血清培養
細胞黏附實驗
改善部分原代細胞的培養
廣州億寧生物技術有限公司是一家專注細胞生物學試劑開發、銷售、服務的技術企業。銷售進口試劑耗材品牌:
corning、BD、takara、thermo、wak、gibcoI、HELIOS、STEMCELL、origen、CSTI、helios、MerckMillipore、NEST、Merck(Sigma, Millipore,Milli-Q,Supelco)、潔特、Abcam、cygnus、illumina、kapa、lonza、貝克曼/Beckman、天津灝洋/TBD等。
廣州億寧生物以好產品+好價格+好服務為經營理念,希望不斷發展的廣州億寧成為您 的選擇!